缩略图 1
ASC-YOLO:用于医学成像中骨折检测的多尺度特征融合和自适应解耦头 - 商品主图
ASC-YOLO:用于医学成像中骨折检测的多尺度特征融合和自适应解耦头
800.00
累计销量 0
累计评价 0
评分 ★★★★★
 
   

商品异常,已被平台禁用,禁止交易。

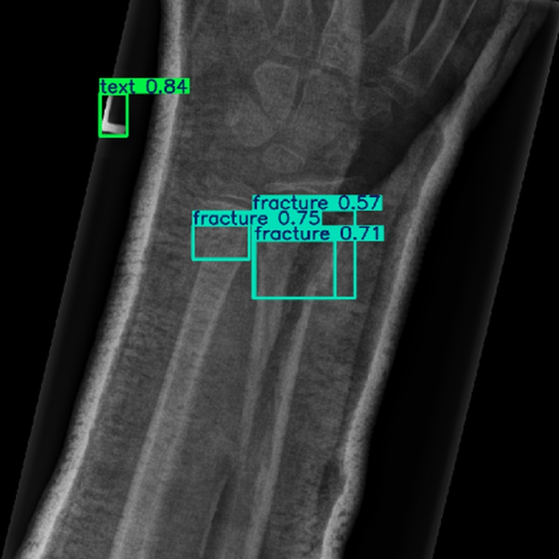
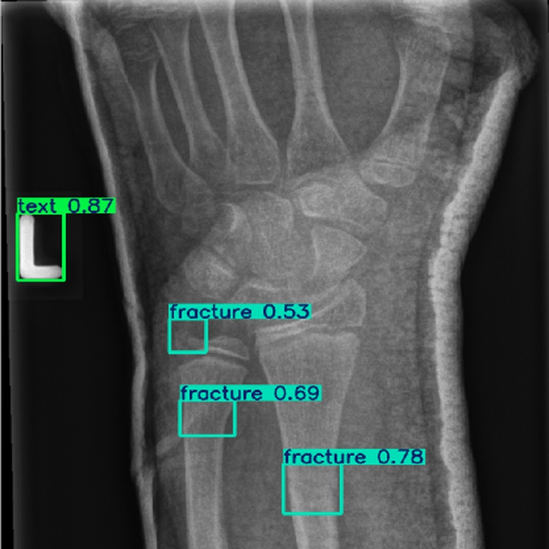
现场环境 在医学成像环境中,使用X射线、CT或MRI等设备获取图像。图像采集过程中可能存在噪声干扰,且骨折目标通常较小,仅占图像像素的2.3%左右,需要在低对比度和复杂背景的条件下进行检测。
使用对象 医学图像中的骨折区域,包括不同类型的骨折(如骨异常、骨损伤等),尤其是小目标骨折区域。
使用目的 通过自动检测医学图像中的骨折区域,辅助医生进行诊断,减少漏诊率,提高诊断效率,为临床治疗提供技术支持。
硬件配置 CPU:无特定型号要求,但建议使用性能较高的多核处理器以满足模型训练和推理的需求。 GPU:NVIDIA GeForce RTX 3090,具备32GB显存,用于加速模型训练和推理过程。 内存:8GB及以上,以确保模型训练过程中有足够的内存资源。 摄像头:无特定要求,主要使用医学成像设备获取图像。 传感器:无特定要求。 接口:无特定要求。 硬盘:1TB SSD,用于存储模型数据和图像数据。 显卡:NVIDIA GeForce RTX 3090。
硬件兼容
软件配置 操作系统:Windows 10/11或Linux(如Ubuntu 18.04)。 依赖库:PyTorch 2.1.1 + cuda11.8,Python 3.9.13。 编译器:GCC 9.3.0。
软件兼容
输入数据 医学图像,包括X射线、CT或MRI图像,图像分辨率为2032×2032像素。
输出数据 骨折检测结果,包括骨折区域的边界框坐标、类别标签(如骨折、金属等)以及置信度。
样本获取 使用GRAZPEDWRI-DX数据集,包含20,327幅图像,其中15,245幅用于训练集,4065幅用于验证集,1017幅用于测试集。在训练前对训练集进行了数据增强处理,包括随机旋转和对比度调整。
测试结果 在测试集上,ASC-YOLO模型实现了61.1%的mAP@50,比基线YOLO模型提高了7.4%。断裂类别的mAP@50达到95%,金属类别的mAP@50达到97%。
执行速度 在NVIDIA GeForce RTX 3090上,模型推理速度约为16ms/次。
资源消耗 在NVIDIA GeForce RTX 3090上运行时,对4核CPU的计算占比平均约60%,对8GB内存的使用占比约50%。
源码类型 本算法提供Python版本源码,基于PyTorch框架开发。
文件大小 算法程序文件约30K,权重文件约220M。
相关备注
ASC-YOLO:用于医学成像中骨折检测的多尺度特征融合和自适应解耦头

ASC-YOLO:用于医学成像中骨折检测的多尺度特征融合和自适应解耦头

ASC-YOLO:用于医学成像中骨折检测的多尺度特征融合和自适应解耦头

买家 规格或版本 评分 评价 时间